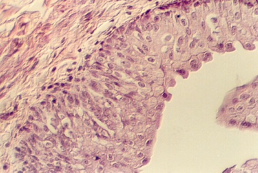
Transitional epithelium contains cells that are flattened and cells that are cuboidal; hence the name "transitional". You can find transitional epithelium in the bladder (shown below) and in the first expansion of the ureters as they leave the kidneys (called a calyx) (shown in the above photograph).
Another way to remember transitional epithelium is that the cells have the capacity to stretch and flatten so the calyx and bladder can expand. What structures allow this distensibility?

Note that in the BLADDER transitional epithelium (shown below) the cells nearest the apex are rounded. This is a diagnostic feature of this epithelium.


The ability to distend comes from the extra membranes that are stored in the transitional epithelial cells. They are crumpled up like paper when relaxed and they add to the surface when distended. An electron micrograph, below shows these membranes, which look like vesicles. However, the section is really cut through crumpled up extra membranes.

URL Address: http://microanatomy.net/epithelia/transitional_epithelium.htm
Gwen V. Childs, Ph.D., FAAA
Department of Neurobiology and Developmental Sciences
University of Arkansas for Medical Sciences
4301 W. Markham, Slot 510
Little Rock, AR 72205
For questions or concerns, send email to this address
