
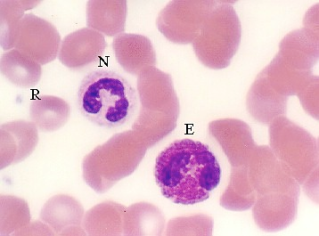
This photo shows an eosinophil (E) and a neutrophil (N). The Eosinophil is distinguished by its red granules and bilobed nucleus. The neutrophil appears to be somewhat immature. How can one draw that conclusion on the basis of morphology?




URL Address: http://microanatomy.net/blood/eosinophils.htm
Gwen V. Childs, Ph.D., FAAA
Department of Neurobiology and Developmental Sciences
University of Arkansas for Medical Sciences
4301 W. Markham, Slot 510, Little Rock, AR 72205
For questions or concerns, send email to this address
