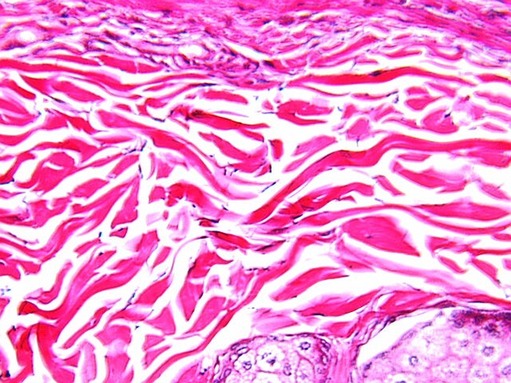
DENSE IRREGULAR CONNECTIVE TISSUE

This micrograph shows dense irregular connective tissue found in the dermis, under the
epithelium of the skin. The region where it has mostly fibers and fibroblasts is dense
irregular connective tissue. Much of the dermis of the skin contains bundles
of collagen fibers separated by matrix (seen as clear spaces in the above
photo). The major cell type found is the fibroblast. These can be
seen by their thin black nuclei (oblong) and a thin "stream of
cytoplasm" that blends in with the collagen fibers. This is
called dense, irregular connective tissue because the fiber bundles are
organized in an irregular array.
DENSE REGULAR CONNECTIVE TISSUE
Tendon, which is a strap like body that connects bone to muscle, is made of dense regular connective tissue. You can find an example in slide 9. The fibers are oriented in parallel arrays. Note the thin, dark staining nuclei of the fibroblasts. Their cytoplasm cannot be distinguished. How does the arrangement of the fibers help a runner sprint or a kangaroo jump?
URL Address: http://microanatomy.net/connective_tissue/dense_connective_tissue.htm
Gwen V. Childs, Ph.D., FAAA
Department of Neurobiology and Developmental Sciences
University of Arkansas for Medical Sciences
4301 W. Markham, Slot 510
Little Rock, AR 72205
