Pituitary
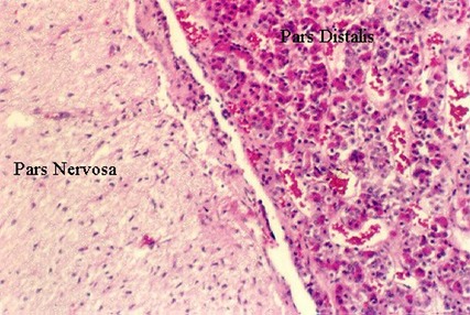
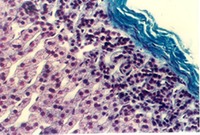
Look at your slide of the human pituitary with your naked eye. You should see a cellular region and a more fibrous region. Then view each region with your microscope under low power. The above photograph shows a cat pituitary. The cellular region to the left is the pars distalis. The fibrous region to the right is the pars nervosa. In the cat, there is a more distinct "pars intermedia", which is seen at the upper left edge of the pars nervosa. What is the embryologic origin of the pars distalis?________________________________ What is the embryologic origin of the pars intermedia?______________________________ What is the embryologic origin of the pars nervosa?_________________________________ Would you expect to see a distinct pars intermedia in your slide of the human pituitary?
Below is a section showing the three regions through the hypophysis


This is a higher magnification of a region through the human pituitary showing the pars nervosa and the pars distalis. What is the name of the cleft that remains and separates the two regions?___________________ Trace the blood supply to the pars distalis. Why is this an advantage for its function?


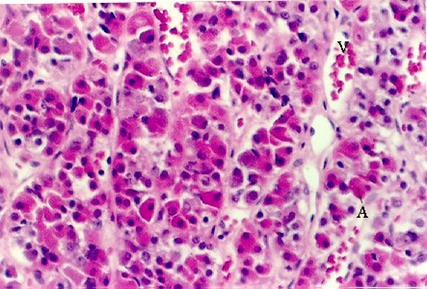
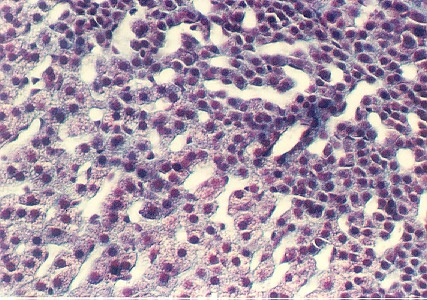
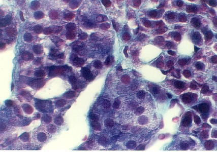
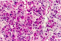
The above photos show higher magnifications of the pars distalis. You should be able to distinguish acidophils and basophils in this and your slide. To do this, look at the color of the red blood cells in the vessels (V). Then, match the color to cells in the pituitary. Those are the acidophils (A). Cells that are more "purple", or blue are the basophils (B). Cells that have hardly any color are the chromophobes. There are few true chromophobes since at the electron microscopic level most pituitary cells have the granules that are characteristic of a particular cell type. They are simply degranulated acidophils or basophils.
If you saw a pituitary with a large mass of acidophils (adenoma), what hormones might be produced by this tumor?____________________________________?
In hypothyroid individuals, certain types of basophils enlarge and become vacuolated. What is causing this response______________________________? Which basophils are responding?___________________________
What is the probable function of most chromophobes_________________?
Pars Nervosa (Posterior Pituitary)
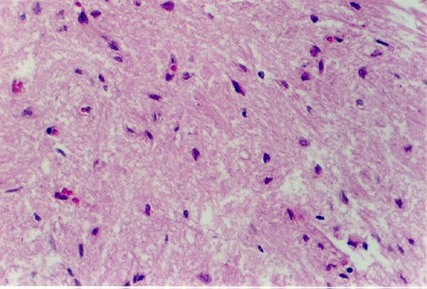
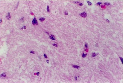
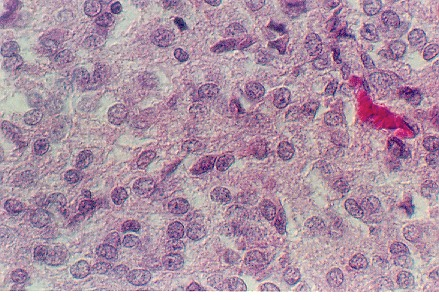
These photos show views of the pars nervosa. This region consists of a mass of nerve fibers and endings from a fiber tract that extends down from the hypothalamus. The hormones are stored in the nerve endings which can be quite large (called Herring bodies). Your slide does not have good examples of Herring bodies. The fibers are supported by glial cells, called pituicytes. In the above photos, you can see scattered nuclei of pituicytes as well as the fine capillaries lined by endothelial cells.
Name the two hormones secreted by the pars nervosa?__________________ Where are these pars nervosa hormones produced?_________________ Trace the blood supply to this region.



This photo shows a low magnification of the thyroid gland. It is distinctive, however note that you will have to work to distinguish it from lactating mammary gland (review your past notes). The gland is organized into sacs, called follicles. Each sac is lined by simple cuboidal, or sometimes columnar epithelium. Each sac contains colloid. The cells are classical examples of polarized epithelial cells with their base near a blood vessel and their apex facing the colloid. In this photo and your slide you can see the small capillaries defining the space between the sacs or follicles. (They stand out because of the red blood cells).
What is colloid and why is it significant?______________________________
What hormone stimulates this gland and how does it get to the thyroid?________________________________________________________

This is a higher magnification of a region through thyroid follicles. You can see the cuboidal epithelial cells along with the colloid.
Why do vacuoles in the colloid and the cells themselves increase in size when the cells are stimulated?

There are cells that are found outside the follicular cells, in the spaces near the blood vessels. These are called "parafollicular cells" or C-Cells and they can't be idenfied by routine light microscopy. However, one can use immunocytochemistry to identify them by their product. What antibody would you use to identify parafollicular cells?_________________________________

The parathyroid gland is distinguished by scattered clumps of adipose cells (seen in the above photograph) lying among the parenchymal cells. You can see this relationship in your slide of the parathyroid gland. There are two types of parenchymal cells: chief cells and oxyphil cells. Use the next photo and the description as a guide and find examples of each type. Parathyroid hormone secretion is stimulated by a signal from the blood stream. What is this signal?________________________
Where does parathyroid hormone act?___________________________
These photos show higher magnifications of the parathyroid gland. The oxyphil cells are distinguished in most of your slides by the fact that they have a dark, round central nucleus and a homogeneous dark pink cytoplasm. They often occur in "nests" or clusters. Chief cells are paler and may have areas of blue staining which reflects their content of rough endoplasmic reticulum as well as storage granules. Can you find the clusters of homogenous pink oxyphil cells in these photos? The third cell type is the adipocyte, which is easy to identify.

If you looked at an electron micrograph of an oxyphil cell, which organelle would be very abundant?________________
The Adrenal Gland



The top photo shows a low magnification of the adrenal gland. Find this slide in your slide set. It is stained with a trichrome stain to bring out the connective tissue (blue) capsule. The top photo shows the three regions of the cortex. The outer region near the capsule has cells arranged in clusters, like grapes. This is called the Zona Glomerulosa. The middle region has cells arranged in straight cords. It is called Zona Fasciculata.(think fasicle or straight). The innermost region has cells arranged in a branching network. This is called the Zona reticularis. Higher magnifications are seen in the middle and bottom photo. Which zones are shown in the middle photo? (label the photo). Which zones are shown in the bottom photo? (label each). What is the principle hormone produced by each of these zones? What is the function of each of the hormones?

A higher magnification of the zona glomerulosa and the Zona fasciculata is shown in this photo. Note the many droplets seen in the zona fasciculata cells. What type of hormone is secreted by these cells? (basic chemistry). Look at an electron micrograph of a adrenal cortex cell. What organelles are involved in the synthesis of the hormones?


These photos show the zona reticularis (region to the right) adjacent to the adrenal medulla. Note that the medullary cells are organized in clusters and the region continues to be highly vascularized. What hormone (s) are produced by the adrenal medulla? How are the medullary cells controlled? Describe the blood flow to the medulla. Why is this important for the function of the medullary cells?
The Pineal


Find your slide of a pineal from an aging human. The most distinctive feature of this gland is the presence of "corpora arenacea" or "brain sand" in the aging pineal. In fact, it will help you identify this as the pineal. It is shown in the above photos as a large blue-purple mass in the tissue.
The pineal is responsive to environmental cues? What are they?___________
What hormone is produced when the pineal is stimulated?_____________
How is the pineal involved in our response to jet-lag?_________________
This higher magnification shows the pinealocytes which are distinguished by their pale, round nuclei. You may also see small dense nuclei belonging to glial cells. The pineal is also well vascularized, which is typical of an endocrine organ.


Your slide of the young pineal may have some part of the brain attached. Try to find the region that is highly cellular (see above photos). Pinealocytes, with their pale nuclei can be seen along with a few glial cells. Capillaries are also evident. Look at your slide and find both cell types.
The Endocrine Pancreas

Look at your slide of the pancreas. Find fields showing both acinar exocrine cells and patches of islet cells. These patches are called the Islets of Langerhans. They are the endocrine cells in the pancreas. Two major cell types include the alpha cell (reddish, producing glucagon) and the beta cell (bluish, producing insulin). They may be easier to see in your slides, at higher magnification. What signal from the blood stream stimulates secretion from the beta cell?__________________________________. What does it secrete?
What signal stimulates secretion from the alpha cell? What is the function of glucagon?____________________________________________________

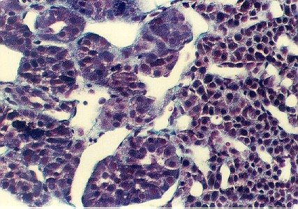
The above higher magnification shows a small islet surrounded by clusters of exocrine cells. You can see the purple and blue cells in the islet better.
What other hormone producing cells are found in the islet?
Look at the base of the exocrine cells (acinar cells) in your slides. Note the deep purple color which contrasts with the reddish granulated color near the apex. Also, find the center of the acinus which is the lumen.
What organelles contribute to the deep purple/blue color at the base of these polarized cells? ________________________________________
What structures contribute to the reddish color in the apex of the cells?___________________________________________________
http://microanatomy.net/endocrines/endocrines.htm
Gwen V. Childs, Ph.D., FAAA
Department of Neurobiology and Developmental Sciences
University of Arkansas for Medical Sciences
4301 W. Markham, Slot 510, Little Rock, AR 72205
For questions or concerns, send email to this address
