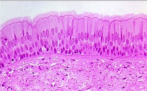
Pseudostratified columnar epithelium is named because its nuclei are “stratified”, but the cells are not. All cells end in one layer on the basememt membrane. The shorter cells have nuclei nearest the basement membrane. The taller cells have nuclei in their central regions, so the nuclei appear to be in “layers”.
An example of pseudostratified epithelium from the epididymis is shown below. It shows a thin section with clearly displayed nuclei in different layers. All cells sit on the basement membrane however. The apical surface is covered with stereocilia. What function do they perform?

Pseudostratified epithelium can also be found in the trachea (left) and olfactory epithelium (below) Note that this epithelium also has Goblet cells and cilia. What function does the cilia perform?

URL Address: http://microanatomy.net/epithelia/pseudostratified_epithelium.htm
Gwen V. Childs, Ph.D., FAAA
Department of Neurobiology and Developmental Sciences
University of Arkansas for Medical Sciences
4301 W. Markham, Slot 510
Little Rock, AR 72205
For questions or concerns, send email to this address
