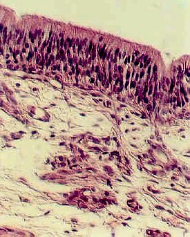
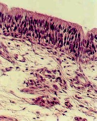
Olfactory Epithelium

This specimen was taken from a newborn: notice the cartilagenous structure of the nasal septum and the upper conchae. Note the Pseudostratified, ciliated columnar epithelium. Find the region that contains Olfactory epithelium which is in the upper and lateral portions.
The nuclei nearest the lumen belong to the Sustentacular cells. They are elongated. The middle layer of nuclei are rounder and somewhat paler. These belong to the Olfactory cells. The nuclei of the Basal cells are the third layer, nearest the connective tissue. They may be difficult to identify. Study an electron micrograph of Olfactory cells and learn how they are specialized for olfactory sensation. Also, learn the function of each of these three cell types.
Underneath the epithelium is connective tissue called the Lamina Propria, which is loose connective tissue. You can identify glands which produce the fluid that dissolves substances to be smelled. These are called Bowman's glands. You can also see large nerve fiber bundles of Cranial Nerve I.called the Filia Olfactoria. These will synapse in the olfactory bulb.
Where are the receptors for smell located? Draw the olfactory cell and show how the sense is transmitted.
When studying this topic, list the structures in the olfactory and respiratory epithelium that
- warm the air we breathe
- dissolve the substances to be smelled
- clean the air we breathe

Look at slide 44 This is a frontal section through one-half of the larynx. Follow the epithelial lining and note that it changes from Respiratory epithelium (pseudostratified columnar) to stratified squamous non-keratinixed epithelium.
The stratified squamous epithelium signals that you are in the True Vocal Cord. The photograph to the left illustrates the epithelium. Move deeper under this epithelium. You will first encounter dense connective tissue. This is the Vocal Ligament. Continue to follow this tissue to a mass of muscle cut in cross section. This is the Vocalis muscle. It is illustrated in the photograph, below.
1. What type of muscle is found in the vocalis muscle? Look at the peripheral nuclei. That is your best clue to skeletal muscle.
Continue to study slide 44 and find the following structures. First, the region which shows a sinus-like invagionation lined with Respiratory epithelium is called the Laryngeal ventricle. Just above this ventricle is the so-called "false vocal cord" which contains many mixed glands (serous and mucous glands).

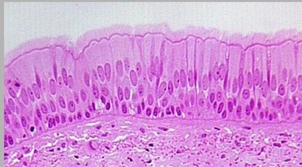
The luman is lined with ciliated Pseudostratified columnar epithelium with Goblet cells. The Epithelium is supported by a basement membrane which rests on a slightly condensed layer of connective tissue. The photograph to the left is a semithin section of trachea embedded in plastic.
The epithelium continues the pseudostratified characteristics seen in the Olfactory epithelium. It is also ciliated and contains goblet cells.
The connective tissue under the epithelium is called the "adventitia". In this connective tissue are numerous seromucous (mixed) glands, as well as blood vessels and nerves. These are called "tracheal glands". Identify the serous and mucous cells in the glands on your section and also on this photograph (to the left). Serous glands contain proteinaceous granules and are therefore stained light purple. The mucin in the mucous glands is washed out. The mucous glands are therefore the lightest staining. What is the function of these glands?
Note the C-shaped tracheal ring. If you have studied bone and cartilage, you may have already identified perichondrium and the chondrocytes in this hyaline cartilage. The cartilage is replaced by smooth muscle and elastic fibers in the posterior wall of the trachea in your slide.
http://microanatomy.net/respiratory/olfactory_trachea.htm
Gwen V. Childs, Ph.D., FAAA
Department of Neurobiology and Developmental Sciences
University of Arkansas for Medical Sciences
4301 W. Markham, Slot 510, Little Rock, AR 72205
For questions or concerns, send email to this address
