This is a section of intestine showing the large mass of smooth muscle in the wall. The outer layer runs longitudinally and the inner layer runs circularly. Note that the nuclei are relatively large, compared to skeletal muscle and they are in the center of the fiber. Each fiber contains only one nucleus. No striations are seen, however nuclei are sometimes in a corkscrew shape because the fiber has contracted.

The following photograph shows the skin of the scalp which has bundles of smooth muscle running from the connective tissue to the hair follicles. These are the arrector pili muscles that help elevate the hair. You can especially feel their action when you are cold.

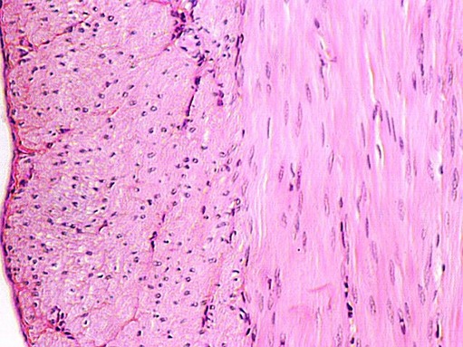
The wall of a muscular artery contains a prominent layer of smooth muscle, running circularly. It is the layer that is most homogeneous just under the "tunica intima". It is called the tunica media. The following two photos are from your skin slide (Slide 25).


Below is a photograph of an arteriole. The arterioles have fewer muscle layers (less than 5-6). They are very important regulators of blood flow peripherally because of the relative thickness (prominence) of the wall compared with the lumen of the vessel.

URL Address: http://microanatomy.net/muscle/smooth_muscle.htm
Gwen V. Childs, Ph.D., FAAA
Department of Neurobiology and Developmental Sciences
University of Arkansas for Medical Sciences
4301 W. Markham, Slot 510
Little Rock, AR 72205
